After the data is processed it is important to pay attention to certain artifacts that should be checked for before tensor fitting the data.
Please note that each of the artifacts are categorized into correctable and uncorrectable artifacts, that will require removing the volume or data from your group analysis. A few examples of artifacts are detailed below. The range from severe uncorrectable to commonly occurring correctable artifacts.
11.1. Ghosting

- Raw, TORTOISE imported view of the corrupted data
- Directionally encoded color map of the corrupted data
11.2. Ghosting due to fat
a b c d

a) Raw DWI with the artifact, b) Trace , c) FA , d) DEC map, e) CHI square map The fat ghost (this example in the frontal lobe) can show anisotropic features (as seen in FA and DEC maps) and can alter your results. Therefore, it is important to keep note of datasets affected by such artifacts and use caution when interpreting results, especially in the affected areas.
11.3. Reciver/Transmitter coil artifact
- Coil sensitivity artifact

- Signal inhomogeneity artifact

11.4. Averaging at the scanner artifact

- Averaged replicates with the 8th DWI showing reconstruction artifact(c)
- Resulting tensor fitting from corrupted data due to the lack of additional uncorrupted volumes.
11.5. Signal scaling artifact
- first replicates with different signal gain then the rest of the replicates

- first replicates with different signal gain then the rest of the replicates

11.6. Slice dropuout due to motion

- All slice view of the volume affected by signal dropout. b) sagittal view of the volume
Remedy: The slice dropout due to motion is correctable in post processing either by removing the affected volume or by using RESTORE tensor fitting algorithm. For both these solutions, it is important that your data has enough number of volumes to account for the loss of data points.
11.7. example of correction stages to remedy signal dropout artifact in DIFFCALC

11.8. Interslice motion artifact
Slice dropouts or zig zag artifacts visible in sagittal view of volume examined.
11.9. DEC map output including and excluding the corrupt volume

Note: The arrows, inserted by author, points to the artifactual and corrected regions that are clearly seen on the DEC map.
- Left: DEC map of data with the corrupt volume. Red arrow shows the residual uncorrected data points.
Remedy: If you notice volumes affected by these interslice motion artifacts, please remove the corrupt volume before performing tensor fitting. You may use the command ExtractDWISubsetListfile from DIFFPREP/bin/bin directory, only extracting the volumes you want included in your tensor fitting.
- Right: DEC map of data after the corrupt volume is removed. Green arrow shows a cleaner map.
11.10. Cardiac pulsation artifact

- All volume view at the level of brain stem showing the cardiac pulsation artifact.
- Axial slice displaying the cardiac artifact resulting in signal loss at the level of the cerebellum.
11.11. Correction stages for Cardiac pulsation artifact

Please note: The arrows, inserted by author, points to the artifactual and corrected regions that are clearly seen on the DEC map.
- Left: DEC map after Non linear tensor fitting without correction.
- Middle: DEC map after RESTORE tensor fitting- artifact removed
- Right:Outlier Map, that is generated when running RESTORE tensor fitting, shows the corrupt data points removed when performing tensor fitting.
11.12. Spike/RF noise artifact

b

- All volume view of the dataset showing (circled in red) volumes affected by spike/rf noise artifact.
- DMC data (output from TOROISE processing) reorientes the artifact to present itself diagonally.
11.13. Correction stages for spike artifact

- Left: DEC map after Non linear tensor fitting without correction.
- Middle: DEC map after RESTORE tensor fitting- artifact removed
- Right:Outlier Map, that is generated when running RESTORE tensor fitting, shows the corrupt data points removed when performing tensor fitting.
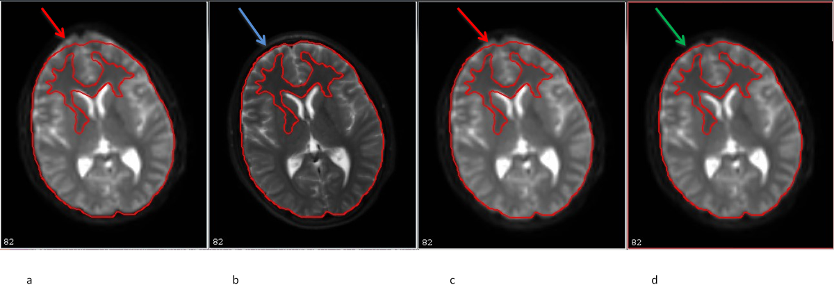
11.14. EPI distortion presentation and correction in traditional, single phase encoded DTI human data

- b0 original image
- T2W fat sat structural image AC-PC aligned
- Quadratic corrected image
- Quadratic+elastic corrected image (with bspline correction)
11.15. EPI distortion presentation and correction in 2-way phase encoded DTI human data

11.16. EPI disortion presentation and correction in 4-way phase encoded DTI human data

11.17. Animal data example: In-vivo ferret dataset with extreme disortions

11.18. Data import errors: viewable in DIFFCALC GUI
Note: green arrows= correct, red arrows= incorrect.
Wrong Import

Correct Import

